Novo Arco Cirúrgico com Operabilidade Incrível e Excelente Qualidade de Imagem
Características
- Operabilidade Simples e Inteligente
- Baixa Dose x Alta Qualidade de Imagem com Processamento de Imagem em Tempo Real com SCORE PRO Advance
- Controle de Redução de Dose
- Subtração Digital (DSA) em Tempo Real
- Exame de Deglutição (Vídeo Fluoroscopia)
- Funções de Suporte à Comunicação para o médico, operador e equipe da sala de cirurgia
Operabilidade Simples e Inteligente
Herança da fácil operabilidade do modelo convencional, o ACTENO FD atende ao desafio de "como reduzir o estresse para o médico e a equipe cirúrgica" com sua operabilidade inteligentemente projetada.
Arco Cirúrgico operado manualmente com travas eletromagnéticas em todas as direções
O Arco Cirúrgico pode ser movido facilmente por travas eletromagnéticas. O sistema
de contrapeso permite a operação totalmente manual, incluindo o movimento vertical.
As travas dos movimentos do Arco Cirúrgico podem ser liberadas por botões
individuais para cada movimento, todos com controles eletromagnéticos.
Botões coloridos correspondentes à direção de movimento do Arco Cirúrgico estão
localizados em cada lado da unidade para operação intuitiva.
O arco cirúrgico pode ser liberado do lado do médico.
A posição da imagem fluoroscópica pode ser facilmente ajustada pelo médico. A manopla do médico permite que ele posicione o arco cirúrgico e ligue/desligue o apontador a laser para cirurgias rápidas.
Design Compacto para Mobilidade Fácil e Estável
O centro de gravidade da unidade do Arco Cirúrgico foi projetado para ficar acima da roda traseira. A unidade compacta e cuidadosamente projetada oferece excelente mobilidade e é surpreendentemente leve e fácil de mover. O ACTENO FD proporciona um ambiente de operação confortável, fazendo uso eficaz do espaço limitado ao redor da área cirúrgica.
Menos interferência com a mesa de operação
A curta distância entre a roda dianteira e o corpo principal permite fácil acesso da unidade do Arco Cirúrgico à mesa de operação. O posicionamento livre é possível porque a cobertura da roda dianteira e o Arco Cirúrgico não se interferem.
Grandes rodas duplas para deslocamentos mais leves
Fácil de mover com grandes rodas duplas. O operador pode facilmente mudar a direção da unidade do Arco Cirúrgico, pois cada roda gira de forma independente.
Formato arredondado para fácil manuseio
A base arredondada permite que o operador coloque o pé sob a unidade, facilitando a aplicação de força na ação inicial ao mover.
O tubo de raios X compacto permite posicionamento flexível.
O tubo de raios X possui um design inteligente, permitindo que os operadores realizem posicionamentos complicados, como o posicionamento do eixo da articulação do quadril.
Ausência de cabos no Arco Cirúrgico para fácil limpeza
Todos os cabos ao redor do Arco Cirúrgico são embutidos, e o design curvilíneo da unidade facilita a limpeza. Você pode manter a unidade sempre limpa, reduzindo o tempo de limpeza após a cirurgia.
Função de ajuste vertical e dobrável do monitor
O monitor pode ser ajustado para uma altura que seja fácil para o médico visualizar. Além disso, pode ser dobrado e armazenado de forma compacta após a cirurgia.
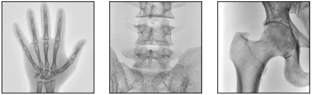
Baixa Dose x Alta Qualidade de Imagem com Processamento de Imagem em Tempo Real com SCORE PRO Advance
O ACTENO FD é equipado com o sistema de processamento de imagem em tempo real SCORE PRO Advance, popular em nossos sistemas de angiografia de ponta e no sistema R/F multifuncional. Ele exibe instantaneamente imagens de alta qualidade e baixa dose, otimizadas para cada parte do corpo e procedimento no monitor.
Redução de Ruído com Rastreamento de Movimento
Ao realizar o bloqueio entre quadros e processamento recursivo entre os blocos mais correspondentes, o ruído é reduzido de forma eficiente, sem atrasos. A tecnologia melhora a visibilidade do dispositivo, especialmente durante a fluoroscopia, e não há imagem residual ao observar enquanto opera o Arco Cirúrgico ou um dispositivo cirúrgico.
Realce de Bordas Detectadas
O SCORE PRO Advance enfatiza apenas a estrutura linear do objeto-alvo, sem realçar o ruído de fundo. Minimiza artefatos que normalmente ocorrem com a equalização paramétrica de múltiplas imagens, permitindo um realce de bordas mais natural e intenso. Ele enfatiza apenas o objeto-alvo, como um processo espinhoso ou a ponta de uma agulha que o médico deseja observar. Ao pressionar o botão, uma imagem fluoroscópica é exibida instantaneamente no monitor.
Controle de Brilho Automático e Pontual
Controle Automático de Brilho O brilho de uma imagem fluoroscópica é analisado em tempo real, e as condições de raios X são ajustadas automaticamente para controlar a região de interesse (ROI), mantendo sempre o brilho ideal. Controle de Brilho Pontual (opcional) O Touch Focus, que otimiza o brilho para qualquer área tocada, é recomendado quando metais, como trilhos da mesa de operação ou implantes, são refletidos no campo de visão. Assim como em um dispositivo móvel familiar, ele controla automaticamente o brilho onde você toca. Obtenha as imagens que desejar.
Detector (FPD) de Alta Resolução
O detector (FPD) compacto de 20 x 20 cm (8 x 8 polegadas) fornece imagens claras e sem distorções. Uma grade antidifusora baseada em fibra é utilizada para o material intermediário. Este hardware alcança baixa dose e alta qualidade de imagem.
Modo Pulsado Ampliado (Boost Mode)
Raios X pulsados são irradiados em alta potência para obter imagens de alto contraste, minimizando a dose. A observação de imagens claras pode ser realizada mesmo em partes do corpo mais grossas, como a coluna lombar em projeção lateral.
Controle de Redução de Dose
Uma combinação do SCORE PRO Advance, que proporciona fluoroscopia sem imagem residual, e fluoroscopia pulsada a até 15 fps, reduz efetivamente a exposição, controlando artefatos de movimento. O ACTENO FD suporta operação em baixa dose com tecnologia especial de redução de dose.
Subtração Digital (DSA) em Tempo Real (Opcional)
Subtração Digital (DAS) em tempo real de alta velocidade a até 7,5 fps e imagens de derivação (fístula) estão disponíveis.
Processamento de Filtro RSM Sem Registro Incorreto
Se ocorrer registro incorreto devido a movimentos do corpo durante a imagem de contraste, o processamento de filtro RSM cria imagens não afetadas pelo movimento. É também eficaz quando se deseja rastrear e visualizar o meio de contraste fluindo nos vasos sanguíneos.
Para Exame de Deglutição (Video Fluoroscopia)
Se você deseja realizar video fluoroscopia (VF), mas não há espaço para a mesa R/F, sugerimos o ACTENO FD.
Pedal com Cabo Longo (Opcional)
A exposição a raios X pode ser realizada do lado de fora da sala de cirurgia.
Funções de Suporte à Comunicação para o Médico, Operador e Equipe da Sala de Cirurgia
A tela sensível ao toque da unidade do Arco Cirúrgico pode exibir a imagem fluoroscópica, apoiando o operador que tem dificuldade em ver a unidade do monitor (opcional).
Às vezes, o operador pode ter dificuldade em ver a imagem no monitor porque ele está voltado para o médico. O ACTENO FD pode exibir uma imagem fluoroscópica na tela sensível ao toque na frente do operador, facilitando a comunicação entre o médico e o operador.
Função de Clone de Imagem Fluoroscópica (opcional)
O ângulo do monitor pode ser facilmente ajustado, e a imagem fluoroscópica pode ser exibida no monitor de referência. Isso melhora a comunicação entre o médico e os demais membros da equipe.
Função de Saída de Vídeo para Dispositivo Externo (opcional)
A função pode transmitir imagens para um dispositivo externo, como um monitor em um suporte de teto na sala de cirurgia.
Função de Saída de Vídeo para Dispositivo Externo (opcional)
A função pode transmitir imagens para um dispositivo externo, como um monitor em um suporte de teto na sala de cirurgia.
Função de Clone de Imagem Fluoroscópica (opcional)
O ângulo do monitor pode ser facilmente ajustado, e a imagem fluoroscópica pode ser exibida no monitor de referência. Isso melhora a comunicação entre o médico e os demais membros da equipe.
Função de Saída de Vídeo para Dispositivo Externo (opcional)
A função pode transmitir imagens para um dispositivo externo, como um monitor em um suporte de teto na sala de cirurgia.
O design do produto pode ser alterado parcialmente sem aviso prévio.
Esta página pode conter referências a produtos que não estão disponíveis em seu
país. Por favor, entre em
contato conosco para verificar a disponibilidade desses produtos em seu país.
Esta página pode conter itens opcionais, entre em contato conosco para mais informações.
LITERATURA
-
A Utilidade da Vertebroplastia Percutânea e do OPESCOPE
ACTENO FD Frente ao Desafio do Aumento da Incidência de Fraturas do Corpo
Vertebral
(PDF 2.10 MB)
Mamoru Mitsukawa¹, Hiroshi Yamaguchi² Departamento de Ortopedia, Hospital Fukuoka Kieikai¹ Departamento de Radiologia, Hospital Fukuoka Kieikai²
-
Desenvolvimento do Sistema de Arco Cirúrgico Móvel OPESCOPE
ACTENO™ FD (PDF 3.55MB)
Takahiro Kawamura
Divisão de Sistemas Médicos, Shimadzu Corporation







